VTIP   TÝDNE
VTIP TÝDNE

Vysvědčení, Pepíček:
Ve škole se rozdává vysvědčení. K Pepíčkovi se sehne paní učitelka a tiše mu sdělí: „Dávala jsem ti to s odřenýma ušima.“
Pepíček ji nečekaně chytí za hlavu, otočí s ní doleva, doprava… a říká: „No ale už máte ty uši docela pěkně zahojené!“

ZOBRAZIT KATEGORIE

 


Program Super Škola


 

Instagram
Facebook


                 Udělejte nám radost
                a napište nám recenzi


            Přihlaste se k odběru novinek,
        které posíláme max. 2x do měsíce


  

Program Super Škola

 

 

 

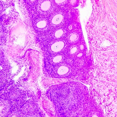
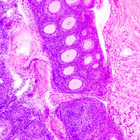
Mikroskopické preparáty – školní sada č. 4, 25 ks

preparáty z botaniky, zoologie a histologie savců

Kód produktu: MAR-PB.5214
Cena s DPH: 2 688

Jaká bude cena dopravy tohoto produktu?

Dostupnost: obvykle 4 - 6 týdnů
Popis produktu

Mikroskopické preparáty – školní sada č. 4, 25 ks


Základní školní mikroskopické preparáty z botaniky, zoologie a histologie savců


Histologie savců:

  • Šlacha, pes, podélný řez
  • Řez kůží s potní žlázou, člověk
  • Varle, králík , příčný řez
  • Vaječník s vyvinutými vajíčky, králík
  • Roztěr spermií, člověk
  • Sítnice, králík řez.

Zoologie:

  • Trepka v konjugaci
  • Trepka v dělení
  • Zástupce z třídy krásnooček
  • Nezmar s endodermem a ectodermem, příčný řez
  • Včela medonosná, složené oko, příčný řez
  • Komár písklavý, larva
  • Octomilka obecná, obří chromosomy ze slinné žlázy
  • Škeble, příčný řez
  • Kopinatec, pohlavní žlázy a žábry, podélný řez.

Botanika:

  • Pryskyřník, kořen, příčný řez
  • Lípa 1, 2 a 3 letý stonek, příčný řez
  • Borovice, stonek, podélný řez
  • Pšenice, list, příčný řez
  • Jednoděložné/dvouděložné listy
  • Kukuřice/Ptačí zob, příčný řez
  • Borovice, samčí šiška, podélný řez
  • Borovice, samičí šiška, podélný řez
  • Cesmína, prothalium s mladým sporofytem
  • Cesmína, list se sporagiem
  • Váleč.

Podobné produkty